Patient 17

Porcelain Veneers
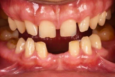
Before
Before
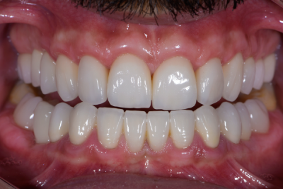
After
After
Before
Before
After
After
Before
Before
After
After

Porcelain Veneers