Skip to main content
Home
About Us
About Our Practice
Meet Dr. Stein
Meet Our Team
Our Philosophy
Accepted Insurances
Financing
Dental Emergencies
Why Choose Us?
Blog
Smile Photos
Dental Services
Dental Services Overview
Cosmetic Dentistry
Cosmetic Dentistry Overview
Veneers
Invisalign
®
Teeth Whitening
Bonding
Crowns & Bridges
Tooth Colored Fillings (White Fillings)
Facial Aesthetics
Dental Implants
All-on-4
®
: “Teeth-in-a-Day”
Preventive Dental Care
Laser Gum Treatment
Functional Dentistry
Full Mouth Rehabilitation
Sleep Dentistry
TMJ
Dentures
Reviews
Contact
Contact Us
Request an Appointment
Map & Directions
1146 Hylan Boulevard
Staten Island, NY 10305
Call
718-989-1168
Text
718-989-1168
Book Appointment
/
Home
/
Gallery
/
Porcelain Veneers
/
Patient 27
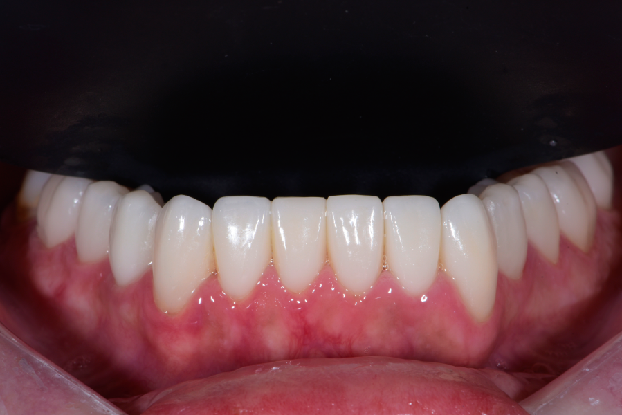
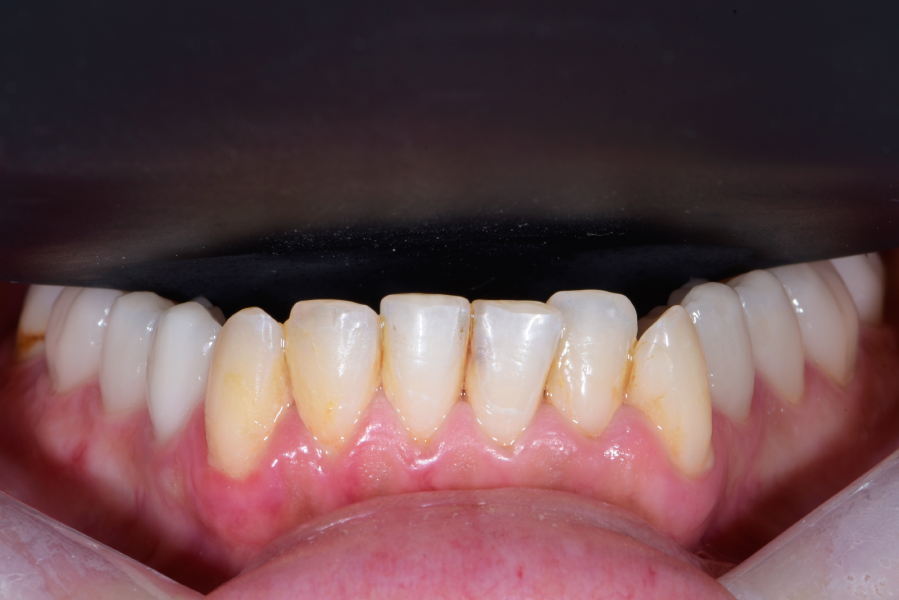
Patient 27
Porcelain Veneers
Before
After
Lower Porcelain Veneers
Back to Gallery
Previous
Next